Diş Çekimi Sonrası
Diş çekimi sonrasında dikkat edilmesi gereken bakım, komplikasyonlar ve iyileşme süreci hakkında bilgi verilmektedir. Bu süreçte hastaların alması gereken önlemler ve karşılaşabilecekleri durumlar detaylandırılmakta, sağlıklı bir iyileşme için öneriler sunulmaktadır.
Diş Çekimi Sonrası Diş çekimi, diş hekimliği pratiğinde sıkça karşılaşılan bir prosedürdür. Dişin, çürük, enfeksiyon, aşırı aşınma veya ortodontik nedenlerle çekilmesi sonrası, hastalar bazı belirtiler ve durumlarla karşılaşabilir. Bu makalede, diş çekimi sonrası bakım, olası komplikasyonlar ve iyileşme süreci hakkında detaylı bilgi sunulacaktır. Diş Çekimi Sonrası Bakım Diş çekimi sonrasında hastaların dikkat etmesi gereken hususlar, iyileşme sürecini doğrudan etkilemektedir. Bu bakım süreçleri şunları içermektedir:
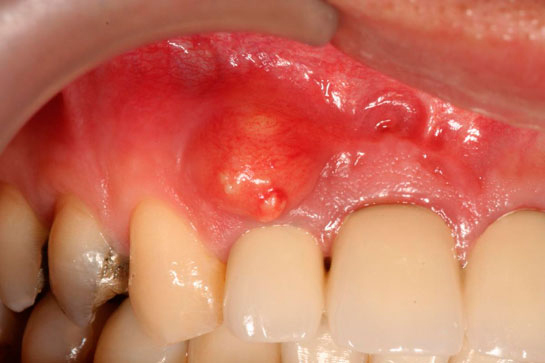
Olası Komplikasyonlar Diş çekimi sonrasında bazı komplikasyonlar gelişebilir. Bu komplikasyonlar arasında şunlar yer almaktadır:
İyileşme Süreci Diş çekimi sonrası iyileşme süreci, bireyden bireye değişiklik göstermekle birlikte genellikle aşağıdaki aşamalardan oluşur:
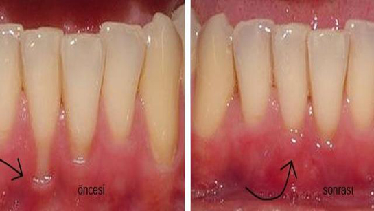
Ekstra Bilgiler Diş çekimi sonrası süreçte bazı spesifik durumlar göz önünde bulundurulmalıdır:
Sonuç olarak, diş çekimi sonrası doğru bakım ve dikkatli bir izleme süreci, komplikasyon riskini azaltarak iyileşme sürecini hızlandıracaktır. Hastaların, belirtilerinde herhangi bir anormallik hissetmeleri durumunda derhal diş hekimine başvurmaları önerilir. |


.webp)







.webp)







.webp)

.webp)

















Diş çekimi sonrasında yaşanan süreç, çoğu kişi için endişe verici olabilir. Ben de bu durumu deneyimledim ve iyileşme sürecinde dikkat edilmesi gerekenlerin önemini anladım. Özellikle diş çekiminden sonra tükürmemek ve ağzı çalkalamamak gerektiği bilgisi, ilk başta garip gelmişti. Ancak bu adımın, kanamanın durmasına yardım ettiğini öğrendikçe daha fazla önemsemeye başladım. Soğuk uygulama yapmanın da şişlik ve ağrıyı azalttığını fark ettim. Bu süreçte sabırlı kalmak ve doktorun önerilerine harfiyen uymak, iyileşme sürecini hızlandırıyor gibi görünüyor. Siz de bu süreçte hangi adımları takip ettiniz ve neler hissettiniz?
İyileşme Süreci
Pozan, diş çekimi sonrası yaşanan sürecin zorlukları hakkında deneyimlerini paylaştığın için teşekkür ederim. Gerçekten de diş çekimi sonrası dikkat edilmesi gereken birçok husus var ve bunların bilinmesi, iyileşme sürecini olumlu anlamda etkileyebiliyor.
Dikkat Edilmesi Gerekenler
Senin de belirttiğin gibi, tükürmemek ve ağız çalkalamamak, kanamanın durmasına yardımcı olmak adına son derece önemli. Bu bilgiyi zamanla kavramak, iyileşme sürecinde kaygıların azalmasına neden oluyor. Soğuk uygulamanın da etkilerini gözlemlemen, şişlik ve ağrıyı azaltma konusunda ne kadar faydalı olabileceğini gösteriyor.
Sabırlı Olmanın Önemi
Sabırlı kalmak ve doktorun önerilerine uymak, iyileşme sürecinin hızlanması açısından kritik. Herkesin vücudu farklı tepki verebilir, bu yüzden herkesin deneyimi de farklı oluyor. Ben de diş çekiminden sonra bol su içmeye, yumuşak gıdalar tüketmeye ve dinlenmeye özen göstermiştim. Bu süreçte hissettiğim şey, ilk başta biraz rahatsızlık olsa da zamanla her şeyin yoluna girdiği oldu.
Senin de bu süreçte nasıl bir yol izlediğini ve hissettiklerini daha fazla merak ediyorum. Belki daha fazla öneri ve deneyim paylaşabiliriz.
Diş çekimi sonrası bu adımları takip etmek gerçekten çok önemli. Özellikle kanama ve pıhtı oluşumu konusunda dikkatli olmak gerektiğini düşünüyorum. Bu süreçte tükürme ve çalkalama yapmamak, yaralı bölgenin iyileşmesini desteklemekte kritik bir rol oynuyor. Ayrıca, soğuk uygulama ve sıcak havlu ile ilgili öneriler de oldukça etkili görünüyor. Bence, morluk ve ağzın hareketlerinde kısıtlılık yaşandığında sakin kalmak ve doktorun önerilerine uymak, iyileşme sürecini önemli ölçüde hızlandırabilir. Siz bu süreçte neler yaşadınız?
Ayşirin, diş çekimi sonrasında bu süreçte dikkat edilmesi gereken noktaları çok güzel özetlemişsin.
Kanama ve Pıhtı Oluşumu: Bu konuda dikkatli olmak gerçekten çok önemli. Aşırı kanama durumunda hemen bir doktora başvurmak gerekebilir.
Tükürme ve Çalkalama: Yaralı bölgenin iyileşmesi için bu tür hareketlerden kaçınmak, senin de belirttiğin gibi kritik bir rol oynuyor.
Soğuk Uygulama ve Sıcak Havlu: Bu uygulamalar, şişlik ve ağrıyı azaltmak açısından oldukça faydalı. Soğuk kompres uygulamak, ilk birkaç gün içinde şişliği kontrol altına alabilir.
Sakin Kalmak ve Doktorun Önerilerine Uymak: İyileşme sürecinde sakin kalmak, stresin azaltılması için de çok önemli. Herkesin iyileşme süreci farklı olabilir, bu yüzden doktorun önerilerine sadık kalmak en sağlıklı yol.
Bu süreçte neler yaşadığım konusunda ise, ilk günler biraz rahatsızlık hissetmiştim ama sonrasında doktorun önerilerine uyarak süreci daha kolay geçirmiştim. Senin deneyimlerin neler?